αληθινά περιστατικάΤpόμος για νέο άντρα: Στα επείγοντα με μήλο στον πpωκτό του μετά...

Τpόμος για νέο άντρα: Στα επείγοντα με μήλο στον πpωκτό του μετά από ατύχημα

Στα επείγοντα του νοσοκομείου Πύργου κατέληξε ένας νεαρός άνδρας 30 περίπου ετών

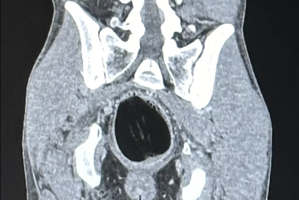
Σύμφωνα με πληροφορίες του tempo24.news, ο άνδρας πήγε μόνος του στο Νοσοκομείο ενώ σύμφωνα με άλλες  πληροφορίες του protinews.com.gr ο 30χρονος χρειάστηκε να μπει στο χειρουργείο καθώς είχε ένα μήλο στον πρωκτό του.

nosokomeio pyrgoy 1

Ο 30χρονος έφτασε στο νοσοκομείο, όπου εξήγησε στους γιατρούς τι είχε συμβεί, κάνοντας ουσιαστικά λόγο για ατύχημα.

Το να βάζουν μήλο (ή άλλο φρούτο/αντικείμενο) στον πpωκτό έχει να κάνει με σeξουαλικό φετίχ ή πειραματισμό.

4444

Η ύπαρξη μήλου στον πρωκτό του νεαρού επιβεβαιώθηκε και από τις εξετάσεις… και αμέσως κλήθηκε χειρουργός για να πραγματοποιηθεί επέμβαση.

stigmiotypo othonis 2025 09 12 23.12.27

Ο 30χρονος που είναι καλά στην υγεία του, αναχώρησε για την οικεία του. Πρόκειται για ένα συνηθισμένο περιστατικό ωστόσο, καθώς στο νοσοκομείο του Πύργου έχουν μεταφερθεί στο παρελθόν και άλλοι «απρόσεκτοι» άνδρες οι οποίοι είχαν την ατυχία να «πέσουν» πάνω σε καρότο ακόμα και σε καρεκλοπόδαρο.

Τα πιο σημαντικά