Οδοντίατρος εξηγεί γιατί ένα δημοφιλές ποτό μπορεί να προκαλέσει φθορά, λευκές γραμμές και ευαισθησία στα δόντια
Οι γιορτές πλησιάζουν και για πολλούς ένα ποτήρι prosecco (Προσέκο) αποτελεί αναπόσπαστο κομμάτι της εορταστικής διάθεσης. Ωστόσο, σύμφωνα με τον οδοντίατρο Dr. Μάρεϊ Πρατ από την Forever Dental and Skin, το δημοφιλές αφρώδες κρασί –όπως και ορισμένα κοκτέιλ– μπορεί να προκαλέσει σημαντική φθορά στα δόντια, ακόμη και με μέτρια κατανάλωση.
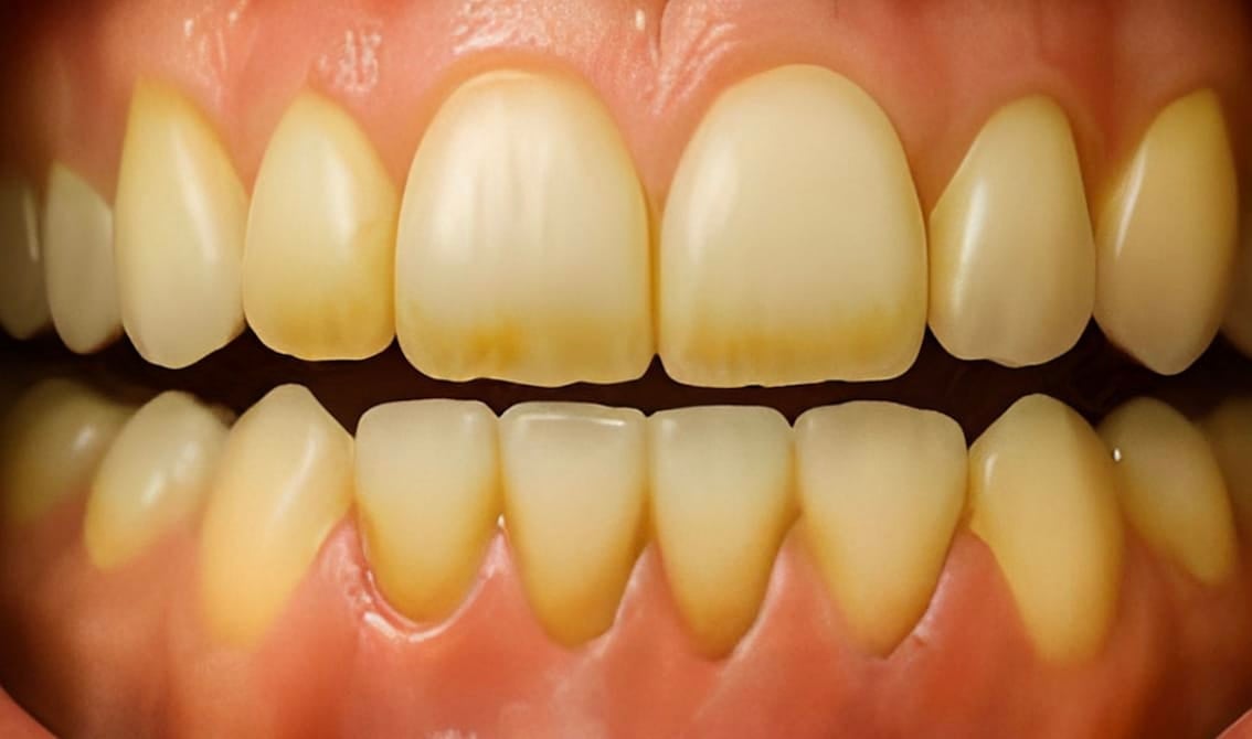
Ο ειδικός εξηγεί ότι το prosecco συνδυάζει δύο παράγοντες που το καθιστούν ιδιαίτερα επιθετικό για την αδαμαντίνη: υψηλή οξύτητα και αυξημένη περιεκτικότητα σε ζάχαρη. «Το prosecco είναι ένα εξαιρετικά όξινο ποτό – όπως και πολλά λευκά κρασιά. Είναι εκατοντάδες φορές πιο όξινο από το επίπεδο που χρειάζεται για να αρχίσει η μαλάκυνση της αδαμαντίνης, επομένως ακόμη και ένα ποτήρι αρκεί για να φέρει τα δόντια σε κατάσταση στρες», δήλωσε. Ένα από τα πρώτα σημάδια διάβρωσης είναι η εμφάνιση μιας λεπτής λευκής γραμμής κοντά στα ούλα. Αν πιέσει κανείς το σημείο, μπορεί να νιώσει μια ελαφριά μαλακότητα – ένδειξη ότι η φθορά βρίσκεται σε αρχικό στάδιο. Αν δεν αντιμετωπιστεί εγκαίρως, μπορεί να εξελιχθεί σε τερηδόνα, ανάγκη για σφραγίσματα ή ακόμη και πιο επεμβατικές θεραπείες.
Παρόλα αυτά, όσοι αγαπούν το συγκεκριμένο ποτό δεν χρειάζεται να το εγκαταλείψουν. Ο Dr. Πρατ προτείνει ορισμένες απλές συνήθειες που μειώνουν την επιβάρυνση στα δόντια. Η χρήση καλαμακιού μπορεί να περιορίσει την άμεση επαφή του όξινου ποτού με την αδαμαντίνη, ενώ η κατανάλωση τροφής παράλληλα βοηθά στην εξουδετέρωση των οξέων. «Το τυρί είναι εξαιρετική επιλογή, καθώς διεγείρει την παραγωγή σάλιου και συμβάλλει στη ρύθμιση του pH. Το σάλιο λειτουργεί ως φυσικός αμυντικός μηχανισμός του στόματος και προστατεύει συνεχώς την αδαμαντίνη», εξηγεί.
Το prosecco δεν είναι όμως το μόνο ποτό που μπορεί να αλλοιώσει την εικόνα του χαμόγελου. Οι σκούρες, βαριές μπύρες ενδέχεται να προκαλέσουν κιτρίνισμα των δοντιών, καθώς οι χρωστικές από τη βύνη αγκιστρώνονται στην επιφάνεια της αδαμαντίνης. Αντίστοιχα, το κόκκινο κρασί και κυρίως οι μίξεις του με αναψυκτικά και άλλα γλυκά, όξινα ροφήματα – όπως κόλα, λεμονάδα, ενεργειακά ποτά, σιρόπια και χυμούς – δημιουργούν ένα περιβάλλον που ευνοεί τη δράση βακτηρίων που προκαλούν τερηδόνα.
Οι ειδικοί υπενθυμίζουν ότι, αν και η μέτρια κατανάλωση αλκοόλ μπορεί να ενταχθεί σε μια ισορροπημένη ζωή, η προσοχή στις επιλογές και στις καθημερινές συνήθειες μπορεί να κάνει τη διαφορά. Με βασικά μέτρα όπως η κατανάλωση τροφής μαζί με το ποτό, η καλή στοματική υγιεινή και η συχνή ενυδάτωση, οι καταναλωτές μπορούν να συνεχίσουν να απολαμβάνουν τα αγαπημένα τους ροφήματα χωρίς σοβαρές συνέπειες για το χαμόγελό τους.
